
関節症(がくかんせつしょう)は、あごの関節やその周囲の筋肉に不調が起こることで、「口を開けると痛い」「口が開きづらい」「あごを動かすと音が鳴る」といった症状が現れる病気です。最近では、ストレスや生活習慣の変化により、若い世代から中高年まで幅広い年齢層で見られるようになっています。
主な原因としては、歯ぎしり・食いしばり、かみ合わせの不調、姿勢の癖(頬杖やうつ伏せ寝など)、また精神的ストレスなどが挙げられます。顎関節自体の構造的な問題や、顎を動かす筋肉の使い方に起因しているケースもあります。
顎関節症は、関節そのものに問題がある「関節型」と、筋肉に起因する「筋肉型」に大別されます。多くは一過性の機能障害で、命に関わるような重篤な疾患ではありませんが、症状が長引いたり悪化すると、食事や会話など日常生活に支障をきたすこともあります。
当院では、日本顎関節学会認定「歯科顎関節症専門医」として、より専門的な立場から、正確な診断と適切な治療をご提供しています。問診・視診・触診に加え、必要に応じて画像診断を行い、症状の原因や病態を的確に把握した上で、一人ひとりに最適な治療計画を立てています。
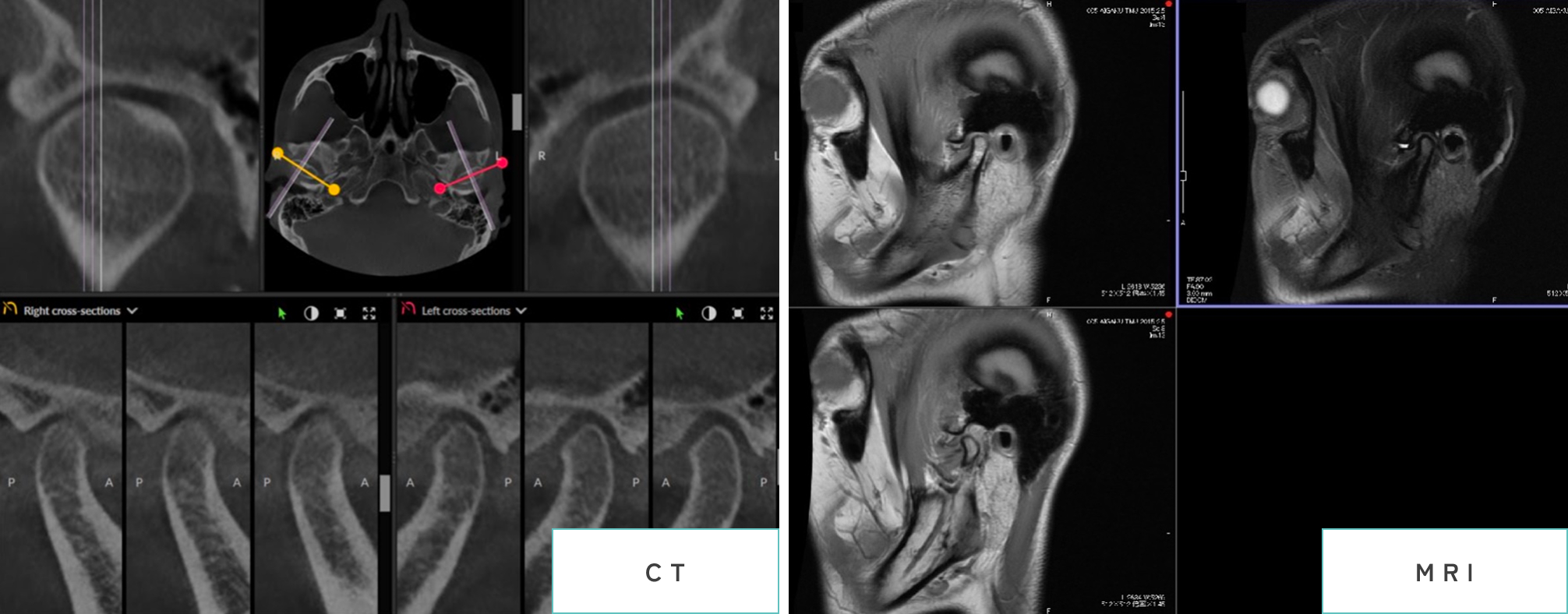
当院では最先端のCTを用意しており、より詳細な顎関節の状態評価が可能です。また、必要に応じてMRIが必要な症例については近隣の総合病院と連携をとり、撮像を行っております。

治療は主に保存的(手術を行わない)な方法が中心で、スプリント(マウスピース)療法、生活習慣の改善指導、顎のストレッチ・筋マッサージ、必要に応じた薬物療法などを組み合わせて行います。痛みや開口障害などの症状は、これらの治療により多くの場合、改善が期待できます。

「最近あごが痛む」「口が開きにくくなってきた」「カクカク音が気になる」など、あごや関節まわりに違和感がある方は、我慢せずにご相談ください。専門医としての知識と経験をもとに、安心して日常生活を送れるよう丁寧にサポートいたします。